Natuurlijk herstel met composiet – minimaal invasief en esthetisch
- Hidde Heddema
- Sep 14, 2025
- 1 min read
Natuurlijk herstel met composiet – minimaal invasief en esthetisch
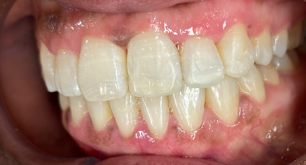
Voor & Na – Composietrestauraties in het front


Bij deze patiënt zijn de voortanden op een subtiele manier hersteld met composiet – zonder te boren of gezond tandweefsel te verliezen. Dankzij een minimaal invasieve werkwijze en het gebruik van hoogwaardige composietmaterialen, konden we het natuurlijke uiterlijk van de tanden herstellen, met oog voor kleur, vorm en symmetrie.
Wat houdt een minimaal invasieve composietbehandeling in?
✔ Niet of nauwelijks boren – het natuurlijke tandweefsel blijft intact
✔ Direct resultaat – in één afspraak klaar
✔ Pijnloos – vaak zonder verdoving
✔ Reversibel – het tandoppervlak wordt niet blijvend aangetast
Deze behandeling is ideaal bij:
Kleine stukjes afgebroken tand
Slijtage of erosie aan de snijranden
Kleur- of vormcorrecties
Tussenruimtes (diastemen) in het front
Bij Tandarts Chantal Schreuder streven we naar natuurlijke esthetiek met behoud van uw eigen tanden. Met behulp van loepbriltechnologie en precisietechnieken zorgen we voor een resultaat dat niet alleen mooi oogt, maar ook duurzaam is.


Comments