top of page
All Posts


Precisie tot in de kleinste details – dankzij de loepbril van Bryant Dental
Bij tandarts Chantal Schreuder staat zorgvuldigheid centraal. Om u de hoogste kwaliteit tandheelkundige zorg te bieden, maakt zij gebruik...
Hidde Heddema
Sep 14, 20251 min read


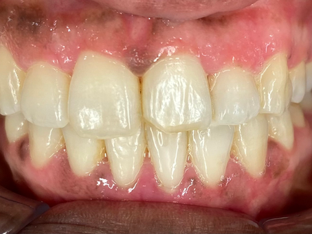
Herstel van Tandslijtage – Voor & Na Behandeling
Bij deze patiënt zagen we duidelijke tekenen van slijtage aan de tanden, vaak veroorzaakt door factoren zoals tandenknarsen, acidose of...
Hidde Heddema
Sep 14, 20251 min read


Natuurlijk herstel met composiet – minimaal invasief en esthetisch
Natuurlijk herstel met composiet – minimaal invasief en esthetisch Voor & Na – Composietrestauraties in het front Bij deze patiënt zijn...
Hidde Heddema
Sep 14, 20251 min read
bottom of page